宏朗眼科(kē)提醒大家,如果听到谁还在说白内障“長(cháng)熟了”再做,请大声的反驳!
在门诊经常会看到这样的病人,多(duō)是老年女性,一早由家属陪着来到医院,满脸疲惫的坐(zuò)在我面前。家属叙述的病史也基本一样:昨天晚上老太太突然出现头痛、呕吐,到了急诊,医生说是眼压高、青光眼,输液、吃药、点眼药水,折腾到半夜才好一点,今天赶紧来复查。最后家属也都会问一句“大夫,我妈妈怎么会突然得青光眼呢(ne)?”
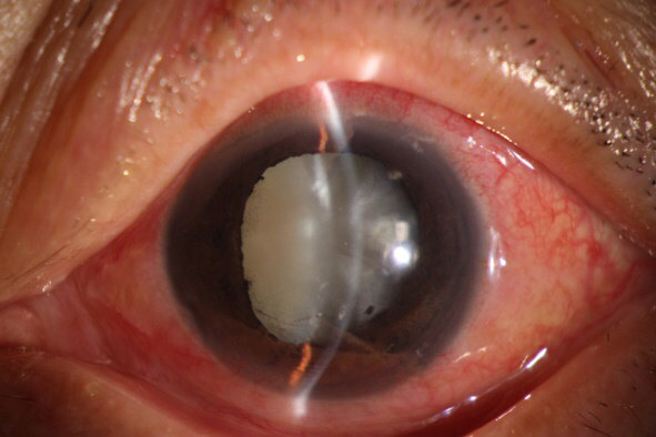
其实病因也基本一样,眼部检查图片如下


这就是典型的白内障未尽早治疗,“長(cháng)得过熟”,而继发青光眼的病例。再追问病史,也都会得到相似的答(dá)案,“早就知道有(yǒu)白内障,都说長(cháng)熟了才能(néng)做”,“電(diàn)视上说有(yǒu)药物(wù)能(néng)控制白内障,能(néng)不做手术就不做吧”等等。
其实现在的超声乳化手术已经让白内障的治疗变得简单、安全。早一点摘除白内障,既提高视力,又(yòu)预防了青光眼的发作。但像上面的病例这样,已经青光眼急性发作过的病人,因為(wèi)高眼压已经损伤了视神经,即使再行手术,只能(néng)缓解症状,视力有(yǒu)可(kě)能(néng)再也不能(néng)恢复。
每次看到这样的病例,都觉得很(hěn)可(kě)惜。長(cháng)沙宏朗眼科(kē)医院的医疗条件已经这么好了,超声乳化技术普及了几十年了。希望患者当中不再流传那些早已过时的观念,而导致不可(kě)挽回的结果。
就像视觉2020提出的:根治可(kě)避免盲。